特色医疗 - 肝胆外科(腹壁疝外科)

您的位置: 肝胆外科(腹壁疝外科) 特色医疗
  • 腹腔镜肝肿瘤切除术

    腹腔镜肝肿瘤切除术

    肝肿瘤是世界范围内最常见的肿瘤之一,我国是肝肿瘤高发地区。我国HBV感染是肝肿瘤发病的主要因素。肝肿瘤常见的临床表现有肝区疼痛、腹胀、纳差、乏力、消瘦、进行性肝大或上腹部肿块。肝切除术可显著改善肝肿瘤预后,肝肿瘤总体的术后5年生存率可达到50%左右。完整切除手术是目前肝肿瘤综合治疗的最重要组成部分。但肝肿瘤患者往往合并有肝硬化、肝功能不全,这类患者易出血、对手术的耐受性差。传统的开腹手术在治疗疾病的同时也会造成巨大的创伤,但腹腔镜肝肿瘤切除术可以明显减少术中出血和术后并发症,极大缩短住院时间。

  • 腹腔镜下腹股沟疝修补术

    腹腔镜下腹股沟疝修补术

    腹腔镜下腹股沟疝修补术是在腹壁打三个0.5~1cm的小孔来放置镜头和器械,在直视下完成解剖分离和补片放置,这一点比一些腹膜前放置补片的开放手术更精确。手术优点:1、伤口美观,损伤小;2、术后恢复快,住院时间短,术后疼痛轻;3、在不增加切口的情况下,可用一种方法同时处理单、双侧的各种腹股沟疝(直、斜、股疝);4、并发症少,不会引起阴囊水肿,也极少引起尿潴留;5、不破坏腹股沟区的天然结构,符合无张力修补的原则,无长期术后疼痛;6、术后复发率低,特别适合复发疝和切口疝的治疗。

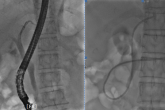
  • ERCP技术

    ERCP技术

    ERCP中文名称:经内镜逆行胰胆管造影术。该技术的原理是在十二指肠镜直视下插入造影导管至十二指肠主乳头,进行X线下造影,显示胆管及胰管病变,并可进行胆管取石、病检、引流胆汁、安置支架的技术,是一项经口内镜胆道治疗技术。ERCP治疗的疾病包括1.胆总管结石、胆道术后残余结石和复发结石;2.各种原因所致的阻塞性黄疸;3.失去手术机会的胆管肿瘤及胰头肿瘤患者通过ERCP放置胆道支架可以减轻黄胆,改善生活质量;4.胆源性胰腺炎,经ERCP可解除胰腺炎病因,有效提高胆源性胰腺炎治愈率;5.急性化脓性胆管炎;胆道蛔虫症;奥狄氏括约肌狭窄;6.术后胆漏;7.胆道狭窄。ERCP治疗的特点1.该技术无需开腹手术,体表无伤口,无切口感染风险;2.大部分患者无需全身麻醉;3.手术操作时间短,患者治疗后即可活动,更适宜不